Mặc dù nhổ răng sâu là bước quan trọng để bảo vệ sức khỏe răng miệng nếu răng bị sâu nặng và gây ảnh hưởng đến những chiếc răng khác. Tuy nhiên, đối với trẻ em, việc nhổ răng sữa quá sớm sẽ làm ảnh hưởng đến khả năng mọc răng vĩnh viễn sau này. Vậy nên làm gì khi trẻ em bị sâu răng và có nên nhổ răng khi trẻ bị sâu răng không? Hãy tham khảo những thông tin sau cùng Nha Khoa Hoàn Mỹ.
Bạn hãy tìm hiểu thêm chi phí nhổ răng sâu tại Phú Nhuận.

Vấn đề răng sâu ở trẻ nhỏ
Nguyên nhân sâu răng ở trẻ nhỏ
Vi khuẩn kết hợp với đường từ thức ăn và đồ uống trong miệng tạo ra axit, làm hỏng bề mặt bên ngoài của răng (men răng). Nước bọt giúp răng tự điều trị và hạn chế sâu răng nhưng nếu theo thời gian, tổn thương nhiều hơn, vượt ngoài khả năng tự điều trị thì trên răng sẽ để lại một lỗ sâu hoặc một ‘lỗ hổng’ gọi là sâu răng.
Mọi đứa trẻ đều có nguy cơ bị sâu răng. Lớp men (lớp ngoài cứng) trên răng sữa mỏng và mềm hơn rất nhiều so với răng vĩnh viễn nên khiến răng sữa có nguy cơ bị sâu cao hơn. Tuy nhiên, chúng ta hoàn toàn có thể ngăn ngừa sâu răng ở trẻ nhỏ và hạn chế nhổ răng sâu nếu phát hiện sớm và điều trị kịp thời.
Răng sữa giúp trẻ biết ăn, biết nói. Răng sữa còn tạo điều kiện các răng trưởng thành vĩnh viễn vào đúng vị trí, vì vậy, điều quan trọng nhất là phải chăm sóc răng của con bạn ngay từ đầu.
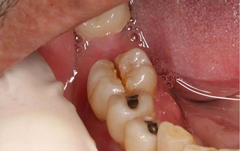
Dấu hiệu nhận biết sâu răng ở trẻ nhỏ

Sâu răng ở trẻ nhỏ phát triển theo thời gian và có thể khó nhận thấy trong giai đoạn đầu.
Sâu răng có thể biểu hiện như:
một dải màu trắng xỉn màu hình thành trên bề mặt răng gần với đường viền nướu – đây là dấu hiệu đầu tiên và thường khó phát hiện
một dải màu vàng, nâu hoặc đen trên bề mặt răng gần với đường viền nướu nhất – điều này cho thấy sâu răng đang nặng hơn
những chiếc răng trông giống như gốc cây màu nâu đen – điều này cho thấy trẻ đã bị sâu răng.
Xem thêm: chữa tủy răng chất lượng tại Tân Bình
Tầm quan trọng của việc phát hiện bệnh sâu răng sớm ở trẻ nhỏ

Trong giai đoạn đầu, sâu răng ở trẻ em có thể được điều trị bằng cách điều trị khác, hạn chế nhổ răng sâu. Tuy nhiên, vì những giai đoạn đầu có thể khó nhìn thấy, nên trong hầu hết các trường hợp, sâu răng ở trẻ nhỏ không được phát hiện cho đến giai đoạn sau và tình trạng sâu răng đã nghiêm trọng hơn.
Vậy để đảm bảo răng bé khỏe, phụ huynh nên đưa con đi kiểm tra răng thường xuyên. Nếu bạn thấy bất cứ điều gì bất thường, hãy đặt lịch hẹn với Nha Khoa Hoàn Mỹ.
Hãy đến ngay phòng khám Nha Khoa Hoàn Mỹ để chúng tôi tư vấn và hỗ trợ bạn tốt nhất.
Liên hệ đến số hotline: 0984.22.55.89 để Nha Khoa Hoàn Mỹ hỗ trợ bạn tốt hơn.
Fanpage: facebook.com/nhakhoahoanmy590
Tìm hiểu thêm: mặt dán sứ veneer 3D ở đâu tốt tại Gò Vấp
