Niềng răng kim loại thì có tốt không? Bạn đang gặp vấn đề về răng ...
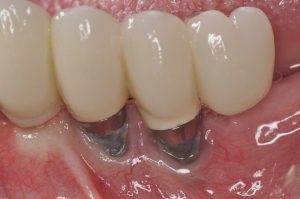
Trụ Implant là vật liệu rất quan trọng và thiết yếu trong quá trình cấy ...
Vì là một trong những kỹ thuật cấy ghép răng khó thực hiện và đòi ...
Ai có thể cấy ghép implant? Người cao tuổi có thể phẫu thuật cấy ghép ...
Cấy ghép răng implant là một thủ thuật phục hình răng mất được các chuyên ...
Đái tháo đường hay tiểu đường thai kỳ có thể được điều chỉnh bằng chế ...
Trồng răng implant hiện nay chính là giải pháp phục hình răng ưu việt và ...
Việc nhổ răng để điều trị các bệnh về răng miệng thì có thể sẽ ...
Bọc răng sứ là một trong những phương pháp nha khoa hiện đại được ...
Trồng implant mất bao lâu thì hoàn thành? Làm thế nào để quá trình trồng ...